Great Smiles Check!

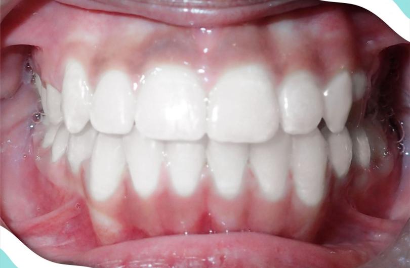
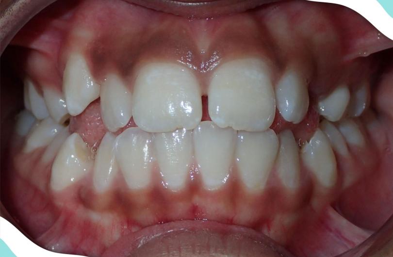
Before and After Braces

These before and after transformations are something to smile about! With over 3,000 cases across our eight Braces Braces locations, we love seeing the final orthodontic results for all of our patients in Atlanta.  If you’re interested in traditional braces, clear braces or Invisalign aligners, come on in to visit us and experience these outstanding orthodontic treatment results and outcomes for yourself.

Before Braces
After Braces

Affordable Braces in the Atlanta Metro Area

Our Most Popular Orthodontic Treatments

For patients wanting a straighter smile, Braces Braces has three different treatment options to choose from. Our dedicated orthodontists will go over the benefits of traditional metal braces, clear braces and Invisalign aligners, so you can feel confident moving forward with a plan. 

We consider your lifestyle, goals, budget, timelines and more to determine how to best improve function and appearance, and achieve a smile you’re happy with. Each patient receives a comprehensive treatment plan and custom orthodontia.

Invisalign

Invisalign treatment is a nearly invisible way to get your brightest smile, in the hands of experienced doctors, who prescribe each individual tooth movement.

Learn more about Invisalign

Traditional Braces

Traditional braces are one of the most popular and affordable orthodontic options. They can correct crowded teeth, eliminate unwanted gaps, and align the jaw. While many people still associate traditional metal braces with a “metal mouth,” this treatment has improved over the years, in terms of comfort, appearance and timelines! 

Learn more about braces
Clear Braces

Clear Braces

Clear braces are affordable and efficient, combining the best of both traditional braces and Invisalign aligners. This treatment option is less expensive and less responsibility than Invisalign, but more discreet than traditional braces.

Learn more about clear braces

Schedule a Complementary Consultation

Quote from Google Review

I love the braces braces in McDonough atmosphere, smell good it’s clean and no long waits . Brittney is my fav she’s gentle and I have no poking after she is done. If you need braces try the McDonough location.
Placeholder image
Google Review

Quote from Google Review

The dentist at the Hiram location always puts by fears and anxiety (which are very high) at ease. The entire staff is professional and welcoming!
Placeholder image
Google Review

Quote from Google Review

This office is amazing! My son feels very comfortable interacting with the entire staff and even goes back for treatment by himself. This is a first for us. He’s just never wanted to do that at any other doctors office. Stephanie H. Is so gentle and amazing. She explains everything she’s doing as she works. My son doesn’t feel anxious about his appointments. He’s actually excited to go. Also the price point is better than anything else we researched! I highly recommend Braces Braces!
Placeholder image
Google Review

Quote from Google Review

I appreciate Whitney for your patient, professionalism, throughout my entire Braces process. You are truly a team player.!! Thank you
Placeholder image
Google Review