Smile Transformations At Braces Braces
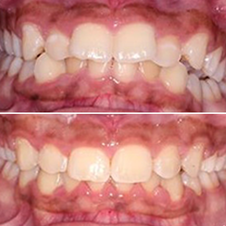
Our dedicated team of dental professionals is committed to helping our patients achieve the smile of their dreams. Browse through our gallery of before-and-after photos to see the incredible results our patients have experienced.
Let us help you embark on your own journey to a radiant, confident smile today!
Ready To Transform Your Smile?
Schedule your appointment today and discover the possibilities
Our expert team is here to help you achieve the radiant smile you've always dreamed of. Don't wait, take the first step towards a confident, healthy smile!
Or Call